(212) 861-9797 Book an Appointment

Outstanding care from world-class Diabetic Retina specialists

100

years

Of Combined Eye Surgery Experience

50K

Plus

Eye Procedures Completed

500

Plus

Lectures Nationally & Internationally

Our patients Testimonials

★★★★★

TREATED WITH RESPECT

From the moment you enter the office you are treated with respect from all the staff. The office operates efficiently to ensure that all patients have the time to be seen and talk with their physicians. I am very pleased with the care. Compassion and overall kindness that has been shown to me.

Margaret M. Google

★★★★★

SMART, COMPASSIONATE, AND SKILLED

I have been seeing Dr. Engelbert for several years. He is smart, compassionate, and skilled. He has maintained the quality of my vision, and I consider myself extremely lucky to have been referred to him for my care.I recommend him without reservation.

Margaret M. Google

★★★★★

SMART, COMPASSIONATE, AND SKILLED

I have been seeing Dr. Engelbert for several years. He is smart, compassionate, and skilled. He has maintained the quality of my vision, and I consider myself extremely lucky to have been referred to him for my care.I recommend him without reservation.

Margaret M. Google

Our award-winning Diabetic Retina specialists

Our internationally-renowned ophthalmologists and diabetic retina specialists have trained and taught at some of the finest and most respected academic institutions in the world. As leading eye doctors and the best-rated diabetic retina specialists, they have devoted their time and resources to research and the development of new diagnostic and therapeutic strategies. This exceptional and unique expertise, joined with their attentive, empathetic concern and careful approach means that even expert ophthalmologists turn to VRMNY retina doctors first when they or their families need care.

Groundbreaking Research

Cutting-Edge Diagnostics

World-Renowned physicians

Isn’t it time you start seeing better

Book Appointment

Conditions We Treat

  • Diabetic Retinal Tear
  • Diabetic Retinal Detachment
  • Diabetic Retinopathy
  • Diabetic Epiretinal Membrane
  • Diabetic Macular Hole
  • Diabetic Macular Degeneration
  • Diabetic Retinitis Pigmentosa

Frequently Asked Questions

Who gets diabetic retinopathy?

People with diabetes are unfortunately at a higher risk for numerous ocular complications, which can lead to severe vision loss and sometimes even blindness. One of those eye diseases is diabetic retinopathy, the leading cause of blindness among Americans.

Diabetic retinopathy is an eye disease that damages the blood vessels in the retina. While what exactly causes this damage is not known, poorly controlled blood sugar levels are believed to be a contributing factor. Although diabetic retinopathy can affect persons with Type I or Type II diabetes, persons with Type I diabetes are at a greater risk of developing the disease. Over time, the risk of developing diabetic retinopathy increases.

What is diabetic retinopathy?

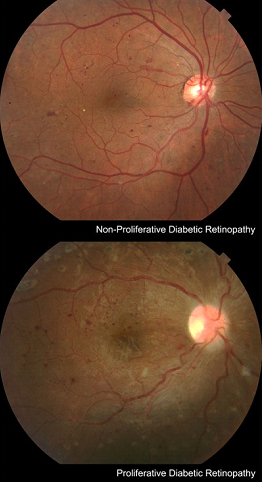
There are two main categories of diabetic retinopathy:

Non-proliferative diabetic retinopathy:

The small blood vessels in the retina become damaged and can leak fluid into the retinal tissue. This is called macular edema, which is swelling of the retina in the area that serves central vision. Symptoms of macular edema include blurry vision and loss of portions of the field of vision.

Proliferative diabetic retinopathy:

Newly formed abnormal blood vessels develop along the surface of the retina and are very fragile. Their fragility can cause them to bleed, which can cause severe vision loss and even blindness.

As these vessels proliferate, bleed and subsequently scar, they can also detach the retina. These forms of retinal detachment pose particular challenges for the retinal surgeon. The experienced surgeons at VRMNY specialize in this type of surgery.

Another complication is the obstruction of the outflow path for fluid that is constantly being produced in the eye by newly formed blood vessels. This can lead to dangerously high pressures in the eye and is called neovascular glaucoma.

How is diabetic retinopathy treated?

Treatment for diabetic retinopathy is individualized based on the type of retinopathy as well as the particular patient’s severity of disease, and other factors, such as speed of evolution, comorbidities etc.

Systemic Approach to Treat Diabetic Retinopathy

The best treatment for diabetic retinopathy is prevention. Keeping blood sugar levels and blood pressure under control can slow the development or progression of the disease. In many cases, additional ocular treatment is necessary when more advanced complications present, such as macular edema or new blood vessel growth. VRMNY’s Award-winning retinal specialists provide a systemic approach to treating diabetic retinopathy using the newest diagnostic and therapeutic strategies.

What role do anti-VEGF agents play in the treatment of diabetic macular edema?

Anti-vasogenic injections of the medications Lucentis, Avastin, Eylea, or Vabysmo have become the mainstay in controlling diabetic macular edema and have become important adjuncts in treating complications of proliferative diabetic retinopathy. These drugs target VEGF (vascular endothelial growth factor) which causes abnormal blood vessel growth and leakage.

Numerous clinical trials have demonstrated their safety and effectiveness as a treatment for diabetic retinopathy, particularly diabetic macular edema. Treatment consists of fairly regular injections in the first year. Once the retinal situation stabilizes, less frequent injections are often sufficient. Laser treatment may be used to augment and prolong the effect of antivasogenic injections for diabetic macular edema.

For proliferative diabetic retinopathy complicated by vitreous hemorrhages, retinal detachment or neovascular glaucoma, laser treatment cannot be replaced by anti-vasogenic treatment, but is rarely done without it now.

What will I experience when I get anti-VEGF injections for diabetic retinopathy?

Preparation for the injection includes anesthetic and disinfecting eyedrops, placement of a lid speculum to hold the lids open during the injection, and injection of a tiny amount of the medication through the white part of the eye. This is usually minimally uncomfortable, and the actual injection only takes a few seconds. Usually, patients will resume their normal activities the same day.

How does Laser Treatment for Diabetic Macular Edema work?

Once diabetic retinopathy is complicated by macular edema or formation of new blood vessels, laser eye surgery for diabetic retinopathy is commonly performed. Lasers have been used to treat diabetic retinopathy for more than 30 years. The goal of using lasers to treat diabetic macular edema is to stabilize vision by trying to stop damaged blood vessels from leaking fluid into the retina. Compared to those not treated, this can help preserve vision longer. Focal and grid laser surgery are used to treat diabetic macular edema. Focal treatment is effective when there are small areas of leakage. If there are wider areas of leakage, grid laser surgery may be performed, meaning laser spots are transmitted in a grid pattern over the swollen areas of the retina.

What will I experience when I get laser treatment for diabetic retinopathy?

Treatment is performed in an office setting. During the procedure, green, yellow, red, or infrared laser light is delivered to the retina through the dilated pupil. Typically, a contact lens is placed on the eye, through which the light is transmitted. Topical anesthetic drops are applied for comfort. A local anesthetic may be administered if an extensive amount of laser is needed, or if the patient is very sensitive.

Following treatment, small spots may be present in the visual field, which are caused by the laser energy. Eventually, these spots will become less noticeable. The results of laser treatment are not usually immediate. At first vision may get worse, however in the long run, many patients who undergo laser treatment for macular edema do see better. Nowadays, diabetic retinopathy laser treatment is often used in conjunction with intraocular injections.

What role do Intraocular Steroids play in the treatment of Diabetic Macular Edema

Intraocular steroid injections (Kenalog, Triescence, Ozurdex, Iluvien) have become a standard treatment option for diabetic persons with macular edema who do not respond well to anti-vasogenic or laser treatment alone or in combination. During treatment, a small amount of steroid is injected into the eye using a tiny needle or specialized injection device. The procedure lasts about a minute and is essentially painless.

Side effects include elevated eye pressure and cataracts, which can generally be managed with simple treatments. But more aggressive therapy may be needed.

What is the role of Laser Treatment for Proliferative Diabetic Retinopathy?

The abnormal new blood vessels of proliferative diabetic retinopathy are treated with panretinal (scatter) laser photocoagulation. During this procedure, the peripheral retina, which is not receiving adequate blood flow, is treated, in order to stop the development of abnormal blood vessels.

This treatment requires many laser applications, and thus may be divided into two or more separate sessions. Treatment stops the formation of new abnormal blood vessels and in most cases causes existing ones to shrink. Side effects include some loss of peripheral and color vision and a decrease in night vision. Some patients experience blurry vision, which can be temporary or continue indefinitely.

What is the role of Vitrectomy Surgery for Proliferative Diabetic Retinopathy?

Although new treatment is often successful in stopping the process of proliferative diabetic retinopathy, in some cases this laser treatment is not effective or the disease too advanced to be treated with laser. Patients may experience bleeding (vitreous hemorrhage), which makes it impossible for the laser to be delivered to the back of the eye or the retina may already have been detached by scar tissue, resulting in a so-called diabetic traction detachment.In most cases, vitreous hemorrhage clears up on its own. However, if it does not clear up after six weeks, a vitrectomy surgery may be necessary. A vitrectomy surgery may also be needed if tractional retinal detachment occurs. In this case, the diabetic retinopathy surgery is performed to improve, or at least stabilize vision. Without this surgery, most eyes with this problem eventually become blind.

What do I experience if I need to have vitrectomy surgery?

A vitrectomy is a common retinal surgery. The surgery is performed in a hospital setting, but on an outpatient basis. Patients get sedation by vein to be relaxed and calm, and local anesthesia around the eye for the procedure to be comfortable.

During the surgery, vitreous gel is removed using tiny instruments under an operating microscope. If scar tissue has built up on the retina, tiny instruments are utilized to remove the scar tissue. Laser is typically applied to the periphery of the retina during surgery.

The surgery lasts about half an hour to three hours, depending on the complexity of the situation. A gas or silicone oil bubble is often placed inside the eye to serve as an internal “splint” until the retina heals. Over the course of several weeks, the gas bubble is absorbed. If silicone oil is used, it may be removed at a later date.

Is Diabetic Retinopathy Treatment Right for Me?

At Vitreous Retina Macula Consultants of New York, one of our ophthalmologists and retina specialists will meet with you during your consultation to assess your situation. We will explain each treatment option’s pros and cons and suggest which diabetic retinopathy treatment in New York is right for you. VRMNY specializes in treating all medical and surgical retinal conditions, emphasizing diabetic retinopathy, the leading cause of retinal vision loss. Request an appointment online or call the internationally-renowned retina specialists and best-rated Diabetic Retinopathy Doctors at (212) 861-9797 to schedule your private consultation.

Why Choose Vitreous Retina Macula Consultants of New York?

Top-Quality Eye Care. Our New York ophthalmologists and eye doctors publish more in the foremost peer-reviewed journals about diabetic retinopathy treatments than any other private or academic group in the United States. Many current concepts in retinal disease and some of the best treatments recognized worldwide were invented at VRMNY, a research and eye surgery center.

Cutting-Edge Diagnostic Tools. Early detection is the most effective method of preventing diabetic retinopathy. Our advanced imaging technology detects leaky, blocked, or swollen blood vessels before symptoms appear.

Groundbreaking Research. Our renowned retinal specialists lecture worldwide on retinal vascular disease and serve as academic leaders in the field as the most published group in foremost peer-reviewed journals in the U.S. Reputation. Our reputation for outstanding eye care gives you access to the latest treatments and technologies and the best eye doctors for diabetic retinopathy. Our specialists have been selected as Castle Connolly Top Doctors, New York Super Doctors, the prestigious group of New York Magazine Best Doctors, one of the best physicians in the United States by “The Best Doctors in America” and are consistently quoted by well-known retina specialists.

Book Appointment Call: (212) 861-9797

Start seeing better today